Enlighten teeth whitening FAQs

For answers to some of the most commonly asked questions about Enlighten Whitening

What makes Enlighten tooth whitening so effective?

Enlighten guarantees the gel they provide is refrigerated from the time it is manufactured, during transportation and storage to the dental clinic. It is then kept refrigerated until you take it home. This keeps it very fresh and, as a result, very effective. The kit includes digitally designed, custom trays for a perfect seal and comes with its own toothpaste to control sensitivity.

How does it work

Gel is placed in the custom trays and worn as prescribed. The gel breaks down stain molecules in the teeth by a process called oxidation, making the teeth appear lighter.

Who can legally offer tooth whitening?

Tooth whitening is a form of dentistry and can only be carried out by a dentist or a dental hygienist/therapist under the prescription of a dentist. Some beauty salons offer tooth whitening, but this is ILLEGAL and may be putting your oral health at risk.

How long does it take?

In the vast majority of cases (95%), 3 weeks. In 5% of patients with very dark teeth, it may take longer. This will always be discussed from the outset.

Is it safe?

Yes. If you are pregnant or breastfeeding, we would recommend you delay until after. It is important to see a dental professional before doing tooth whitening so that your teeth and gums can be checked. Buying gel off the internet is very risky, as it may be too strong and burn your mouth or be an unlicensed product. Don’t take risks with your health.

How comfortable is it?

We give you Enlighten tooth serum, a fantastic product to use for a week before starting the tooth whitening, which prepares the teeth and reduces sensitivity. The trays are soft and very comfortable to wear.

Will my fillings change colour?

No. Tooth whitening only alters the colour of natural teeth. This is why it is very important to see a dental professional so that this can be discussed at the start of a course of treatment, so that you end up with an even result. Sometimes a filling or a crown on a front tooth may need to be replaced after the tooth whitening, so that it matches your new white teeth. This can be highlighted, and any costs involved can be discussed before starting the treatment.

When can I start?

Phone 01892 782 300 and we will book you in!

Boutique teeth whitening FAQs

What is Boutique whitening?

A safe, gentle system for whitening your teeth. It can be carried out during the day or overnight, so it is flexible to suit different lifestyles.

How does it work?

Gel is placed in the custom trays and worn as prescribed. The gel breaks down stain molecules in the teeth by a process called oxidation, making the teeth appear lighter.

Who can legally offer tooth whitening?

Tooth whitening is a form of dentistry and can only be carried out by a dentist or a dental hygienist/therapist under the prescription of a dentist. Some beauty salons offer tooth whitening, but this is ILLEGAL and may be putting your oral health at risk.

How long does it take?

Usually 2-3 weeks.

Will my fillings, crowns or composite bonding change colour?

No. Tooth whitening only alters the colour of natural teeth. This is why it is very important to see a dental professional so that this can be discussed at the start of a course of treatment, so that you end up with an even result. Sometimes a filling or a crown on a front tooth may need to be replaced after the tooth whitening, so that it matches your new white teeth. This can be highlighted, and any costs involved can be discussed before starting the treatment.

How long does it last?

This depends on various factors. If you smoke heavily or drink lots of black tea, coffee or red wine, you may need to top up the whitening more regularly. This is fully discussed at your initial consultation.

How can I maintain my lovely white teeth?

We recommend you join our dental plan and have regular dental checks and hygiene appointments to keep your teeth stain-free and healthy.

How many appointments do I need?

Normally 3.

  • Consult and scan.
  • Fit of the custom-made trays.
  • Review to check you are delighted with your smile.

How old do I need to be?

Legally, you need to be 18 years old, but there is no upper age limit!

Is it suitable for everyone?

Boutique is great for younger teeth that have thicker enamel. For teeth that are darker or more worn down, Enlighten will give a more predictable result.

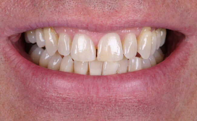
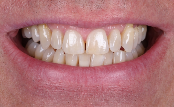
View Teeth Whitening Cases

Smile Gallery

Teeth Whitening before

Before

Teeth Whitening after

After

Teeth Whitening before

Before

Teeth Whitening after

After

Teeth Whitening before

Before

Teeth Whitening after

After

Teeth Whitening before

Before

Teeth Whitening after

After

Ibbott & Co.

Please see our Smile Design page

To see how composite bonding fits into the range of options available for changing a smile

Smile design

I’m interested. What do I do?

Step 1

Get in touch with our friendly dental team today to schedule your appointment or ask any questions— we’re here to help you smile with confidence!

Step 2

Come and see our treatment coordinator for a free smile consultation.

Here we will scan your teeth, show you a simulation of how your teeth, could look, discuss your concerns and all of the reasons why you have chosen to come and see us and give you a rough quotation for the fees for your treatment.

Step 3

See one of our dentists

See one of our dentists for a comprehensive examination, including a full check-up, oral cancer screening, and personalized treatment planning.

Patient testimonials

First class treatment. Highly recommended. Chris is caring and kind. Had two onlays. Great results. Also, tooth whitening has really improved the look of my teeth. The team is 100% professional. I used to be quite nervous about the dentist, but I’m so confident now.

Anne G

I am very happy with the excellent quality of care and expertise shown by Janet and her team through the treatment plan to replace my amalgam fillings with Onlays as needed or white fillings. Very pleased with the results – thank you everyone!

I C

Chris and his team have made me not hate going to the dentist. He recently re-did the bonding I had done after a childhood accident. It was completely pain-free, almost relaxing, and I left not only with a much happier tooth but with a thorough knowledge of Chilean pumas thanks to President Obama on the ceiling TV.

They took care of my pre-wedding tooth whitening as well – they were so beautifully white that I’m sure my smile could be seen from outer space. I also want to give a shout-out to the reception team – an often thankless job – as they are always such a joy whenever I walk through the door.

The whole crew gets 5 stars every time.

Hannah P

From the friendly welcome in reception to the care of all members of the team, I have always been happy with the care I have received. I am a nervous patient, but I have never had any worries.

Adrian S

I can’t recommend Ibbott & Co highly enough! Chris is absolutely wonderful—so warm, welcoming, and kind. From the moment you walk into the clinic, he puts you at ease with his friendly demeanour and genuine care. I always feel like I’m in the best hands with him.

Victoria is equally fantastic. She is incredibly professional and thorough. She takes the time to explain everything and always ensures I’m comfortable throughout.

The reception staff are lovely, efficient, and always happy to help with booking or rescheduling appointments. It’s clear that everyone at Ibbott and Co takes pride in creating a warm, welcoming atmosphere while providing excellent care – truly a 5 star dentist!

Chloe W

Patient testimonials

First class treatment. Highly recommended. Chris is caring and kind. Had two onlays. Great results. Also, tooth whitening has really improved the look of my teeth. The team is 100% professional. I used to be quite nervous about the dentist, but I’m so confident now.

Anne G

I am very happy with the excellent quality of care and expertise shown by Janet and her team through the treatment plan to replace my amalgam fillings with Onlays as needed or white fillings. Very pleased with the results – thank you everyone!

I C

Chris and his team have made me not hate going to the dentist. He recently re-did the bonding I had done after a childhood accident. It was completely pain-free, almost relaxing, and I left not only with a much happier tooth but with a thorough knowledge of Chilean pumas thanks to President Obama on the ceiling TV.

They took care of my pre-wedding tooth whitening as well – they were so beautifully white that I’m sure my smile could be seen from outer space. I also want to give a shout-out to the reception team – an often thankless job – as they are always such a joy whenever I walk through the door.

The whole crew gets 5 stars every time.

Hannah P

From the friendly welcome in reception to the care of all members of the team, I have always been happy with the care I have received. I am a nervous patient, but I have never had any worries.

Adrian S

I can’t recommend Ibbott & Co highly enough! Chris is absolutely wonderful—so warm, welcoming, and kind. From the moment you walk into the clinic, he puts you at ease with his friendly demeanour and genuine care. I always feel like I’m in the best hands with him.

Victoria is equally fantastic. She is incredibly professional and thorough. She takes the time to explain everything and always ensures I’m comfortable throughout.

The reception staff are lovely, efficient, and always happy to help with booking or rescheduling appointments. It’s clear that everyone at Ibbott and Co takes pride in creating a warm, welcoming atmosphere while providing excellent care – truly a 5 star dentist!

Chloe W

Get in touch

We provide a simple and affordable way to pay for dental treatments, enabling you to arrange the smile you want at a cost to suit your pocket.

Book a Cosmetic Consultation

Online booking Contact us
Google Rating
5.0
Google Rating
Google Widget Icon