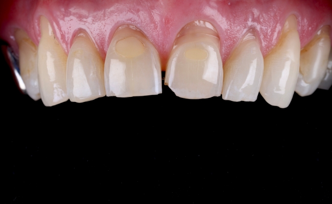
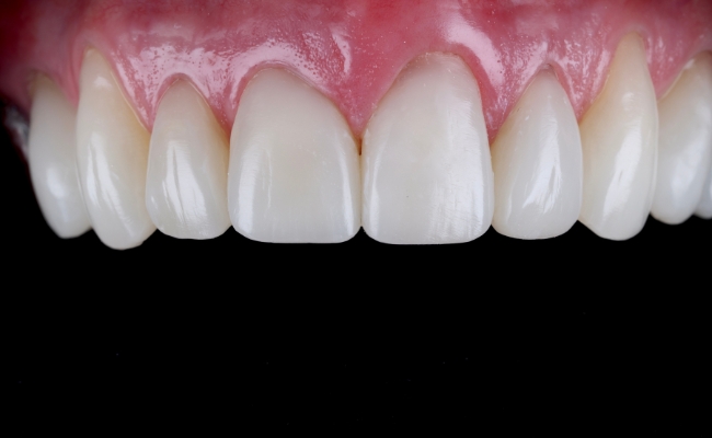
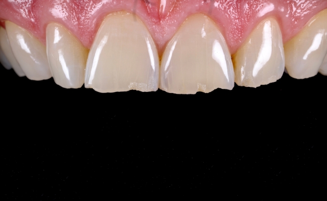
Composite Bonding

Before

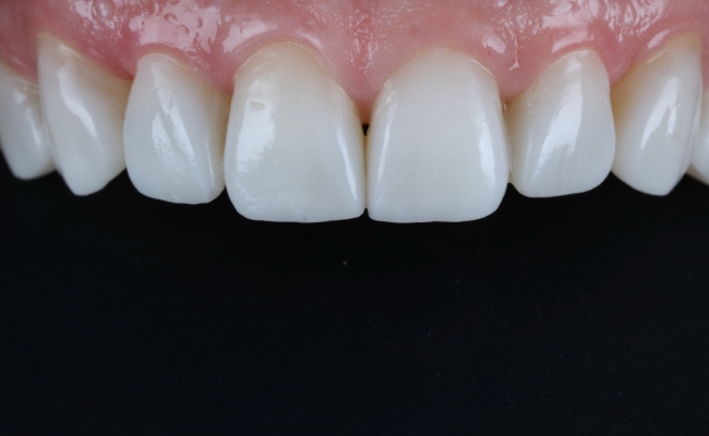
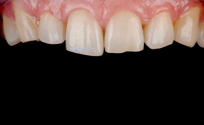
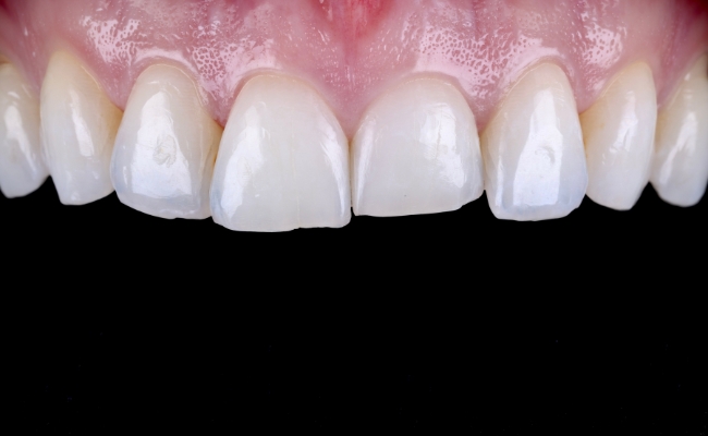
Composite Bonding

After

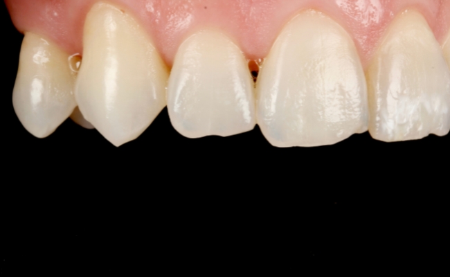
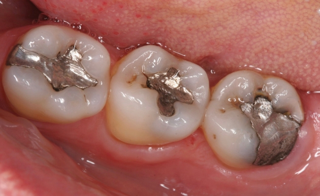
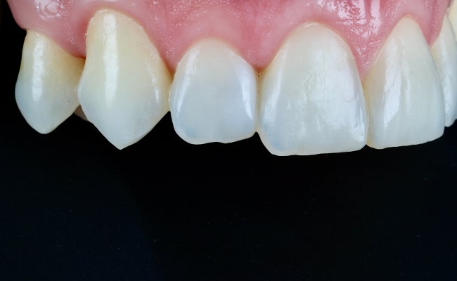
Composite Bonding

Before

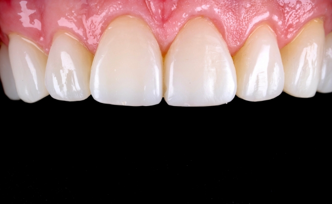
Composite Bonding

After

Composite Bonding

Before

Composite Bonding

After

Composite Bonding

Before

Composite Bonding

After

Smile Gallery

Frequently asked questions

For answers to some of the most commonly asked questions about composite bonding, please take a look at our videos below.

What is composite?

  • Composite is the material used for white fillings.
  • It is made up of small particles inside in a gel-like resin.
  • When applied to the tooth, the composite is soft and can be
    moulded into shape.
  • A special light is then used to set it and its then bonded chemically
    to the tooth surface.

Can anyone get composite bonding?

Is composite bonding painful?

What is the process of composite bonding?

How long does composite bonding last?

How long does it take?

Will we need to shave your teeth?

Why does Dr. Chris loves Composite Bonding?

How many teeth do i need treated?

How many appointments will I need?

How much does Composite Bonding cost?

Can I see my new smile before its done?

View more composite bonding cases
Ibbott & Co.

Please see our Smile Design page

To see how composite bonding fits into the range of options available for changing a smile

Smile design

In a nutshell, composite bonding is where a resin material (the same material used for white fillings on back teeth) is applied to teeth to repair them or change their shape in some way. It can also be used to change their color. This is a non-invasive treatment, meaning teeth are not damaged during the process.

When this material is used to cover the whole of the front surface of a tooth, it is commonly termed a composite veneer.

Veneers

How Composite Bonding is done

Here is a video which explains how composite bonding is carried out. The process might be a little different depending on what is actually being done.

I’m interested. What do I do?

Step 1

Get in touch with our friendly dental team today to schedule your appointment or ask any questions— we’re here to help you smile with confidence!

Step 2

Come and see our treatment coordinator for a free smile consultation.

Here we will scan your teeth, show you a simulation of how your teeth, could look, discuss your concerns and all of the reasons why you have chosen to come and see us and give you a rough quotation for the fees for your treatment.

Step 3

See one of our dentists for a comprehensive examination, including a full check-up, oral cancer screening, and personalized treatment planning.

Patient testimonials

I was quite nervous when looking for a new dentist, then I discovered Ibbott & Co in Wadhurst. I booked an online consultation with the owner, Dr Chris, to discuss my options with Invisalign. He was so professional and knowledgeable, I was so excited to start my treatment plan. When I arrived, I was so impressed with the practice, it’s modern with all of the latest dentistry equipment and has a lovely warm feeling about it with the most friendly and professional team. I started my Invisalign journey with Dr Chris, and after just 10 months, I was absolutely thrilled with the results. I cannot thank Dr Chris enough. I continue to visit Ibbott & Co for all of my dental checks and hygiene appointments; they are the best!
Thank you!

Lucy

I’ve been going to Ibbott & Co for many years, and I can’t say enough good things about them. The entire team is friendly, professional, and truly exceptional in their service. They go beyond the usual checkup by carefully examining your lips, tongue, cheeks, and neck for any signs of cancer or other concerns. I also completed an Invisalign treatment with Chris, and I couldn’t be happier with the results—I love my smile now!

Megan

Chris and the team at Ibbott & Co. are amazing. I was always conscious of my front teeth, which were crooked and crossed over, along with a variety of other dental problems. I also suffer from very sensitive nerves, so I was a bit anxious about having any work done, but Chris made me feel totally at ease, and I can honestly say – it was an almost painless experience having extensive dental work done to my upper jaw. I cannot thank the team enough for giving me my smile and confidence back and for looking after me. At least once a week, someone tells me I’ve got amazing teeth – so thank you, Ibbott & Co!!

Penny

Chris and the team here are truly fantastic! From the moment I made a telephone enquiry (thanks Yasmin), I felt that I was in caring, professional hands. After a preliminary discussion with the wonderful Billie (treatment co-ordinator), and a comprehensive assessment with Chris, he then carried out cosmetic bonding on 3 teeth, which completely smoothed 2 chipped teeth and hid 1 black triangle.

Chris also removed a white spot lesion on a front tooth, which had begun to cause me some social anxiety. I am thrilled with the results and cannot thank Ibbott & Co. enough. Throughout the process, they listened to me, answered lots of questions, and gave me all the time I needed to ensure we achieved the right results.

Before finding Chris, I had met 3 other dentists (for the same enquiry), but did not get the right vibe or feeling of care from them. I was more than happy to complete a 60-mile round journey to visit Ibbott & Co for each appointment. That’s how highly I rate them! Thoroughly recommend and would never think of going elsewhere should I require dentistry expertise again.

Steve

Chris and all the team are first class. I’d recommend Ibbott & Co to anyone looking for friendly, professional service and kindness – especially valuable to those of us who are a little “nervous” about our trips to the dentist. Special mention to the reception team – they are all outstanding!

Terence

I have recently had composite bonding treatment with Chris. Can only say that I am absolutely thrilled with the results. Chris takes so much time and care to make it perfect. My appointment was for 3 hours, which is daunting under any circumstances, but was made so much easier while having a television to watch your favourite programmes. I look at it as a little lay down lol. Thank you, Chris and Sharon, who is his brilliant dental assistant!

Tina

Patient testimonials

I was quite nervous when looking for a new dentist, then I discovered Ibbott & Co in Wadhurst. I booked an online consultation with the owner, Dr Chris, to discuss my options with Invisalign. He was so professional and knowledgeable, I was so excited to start my treatment plan. When I arrived, I was so impressed with the practice, it’s modern with all of the latest dentistry equipment and has a lovely warm feeling about it with the most friendly and professional team. I started my Invisalign journey with Dr Chris, and after just 10 months, I was absolutely thrilled with the results. I cannot thank Dr Chris enough. I continue to visit Ibbott & Co for all of my dental checks and hygiene appointments; they are the best!
Thank you!

Lucy

I’ve been going to Ibbott & Co for many years, and I can’t say enough good things about them. The entire team is friendly, professional, and truly exceptional in their service. They go beyond the usual checkup by carefully examining your lips, tongue, cheeks, and neck for any signs of cancer or other concerns. I also completed an Invisalign treatment with Chris, and I couldn’t be happier with the results—I love my smile now!

Megan

Chris and the team at Ibbott & Co. are amazing. I was always conscious of my front teeth, which were crooked and crossed over, along with a variety of other dental problems. I also suffer from very sensitive nerves, so I was a bit anxious about having any work done, but Chris made me feel totally at ease, and I can honestly say – it was an almost painless experience having extensive dental work done to my upper jaw. I cannot thank the team enough for giving me my smile and confidence back and for looking after me. At least once a week, someone tells me I’ve got amazing teeth – so thank you, Ibbott & Co!!

Penny

Chris and the team here are truly fantastic! From the moment I made a telephone enquiry (thanks Yasmin), I felt that I was in caring, professional hands. After a preliminary discussion with the wonderful Billie (treatment co-ordinator), and a comprehensive assessment with Chris, he then carried out cosmetic bonding on 3 teeth, which completely smoothed 2 chipped teeth and hid 1 black triangle.

Chris also removed a white spot lesion on a front tooth, which had begun to cause me some social anxiety. I am thrilled with the results and cannot thank Ibbott & Co. enough. Throughout the process, they listened to me, answered lots of questions, and gave me all the time I needed to ensure we achieved the right results.

Before finding Chris, I had met 3 other dentists (for the same enquiry), but did not get the right vibe or feeling of care from them. I was more than happy to complete a 60-mile round journey to visit Ibbott & Co for each appointment. That’s how highly I rate them! Thoroughly recommend and would never think of going elsewhere should I require dentistry expertise again.

Steve

Chris and all the team are first class. I’d recommend Ibbott & Co to anyone looking for friendly, professional service and kindness – especially valuable to those of us who are a little “nervous” about our trips to the dentist. Special mention to the reception team – they are all outstanding!

Terence

I have recently had composite bonding treatment with Chris. Can only say that I am absolutely thrilled with the results. Chris takes so much time and care to make it perfect. My appointment was for 3 hours, which is daunting under any circumstances, but was made so much easier while having a television to watch your favourite programmes. I look at it as a little lay down lol. Thank you, Chris and Sharon, who is his brilliant dental assistant!

Tina

Get in touch

We provide a simple and affordable way to pay for dental treatments, enabling you to arrange the smile you want at a cost to suit your pocket.

Book a Cosmetic Consultation

Online booking Contact us
Google Rating
5.0
Google Rating
Google Widget Icon